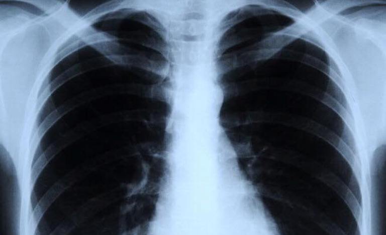
पाल्पा । पाल्पाको पूर्वखोला गाउँपालिकाले निःशुल्क भिडियो एक्स– रे तथा जनस्वास्थ्य प्रयोगशाला सेवा सुरु गरेको छ।
रिङ्गनेरह स्वास्थ्य चौकीमा स्थापना गरिएको सो सेवा प्रत्येक महिनाको एक दिन घुम्ती शिविरको आयोजना गरी वडावडाका स्वास्थ्य संस्थामार्फत सेवा दिने उद्देश्यले भिडियो एक्स–रे तथा जनस्वास्थ्य प्रयोगशाला स्थापना गरिएको स्वास्थ्य शाखा प्रमुख मोहन ढकालले जानकारी दिए।
नागरिकको स्वास्थ्य आधारभूत आवश्यकता रहेकाले पालिकाले त्यसलाई प्राथमिकतामा राखेर प्रदेश सरकारसँग समन्वय गरी भिडियो एक्स–रे सेवाको सुरुआत गरिएको गाउँपालिकाका अध्यक्ष नुनबहादुर थापाले बताए।
सामान्य एक्स–रे र रगत जाँचकै लागि उपचार शुल्कभन्दा बढी यातायात शुल्क तिरेर सदरमुकाम जानुपर्ने बाध्यता थियो। भिडियो एक्स–रे र प्रयोगशाला सेवा लिन तानसेन जानुपर्ने समस्या अब हटेको छ।
गाउँपालिकाको स्वास्थ्य शाखाको यही चैत ७ गतेसम्मको तथ्याङ्कअनुसार ११२ जना गर्भवती पालिकाभित्र छन्। पालिकाले ६ वटै वडामा प्रत्येक महिनाको एक दिन निःशुल्क भिडियो एक्स–रे र जनस्वास्थ्य प्रयोगशाला सेवा सुरु गर्ने निर्णयसमेत गरेको छ। भिडियो एक्स–रे मेशिन स्वास्थ्य आपूर्ति व्यवस्थापन केन्द्र लुम्बिनी प्रदेशबाट प्राप्त भएको हो भने तालिम स्वास्थ्य केन्द्र प्रदेशको समन्वयमा भएको थियो।
आधारभूत स्वास्थ्य सेवा स्थानीय तहको प्रत्येक वडाबाट प्रवाह गरिनुपर्ने भनिए पनि अझै पनि कतिपय पालिकामा यस्तो व्यवस्था छैन। स्थानीय तहमा आधारभूत स्वास्थ्य सेवा केन्द्र निर्माण तथा सेवा सञ्चालनसम्बन्धी कार्यविधि– २०७५ मा स्वास्थ्य संस्था नभएका वडाहरुमा क्रमशस् स्वास्थ्य संस्था स्थापना गरिँदै लगिने उल्लेख छ।
यसका साथै सम्बन्धित स्थानीय तहले स्वास्थ्य संस्था नरहेका आफ्ना वडाहरुमा आधारभूत स्वास्थ्य सेवा केन्द्रको स्थापना गर्नुपर्ने व्यवस्था छ। भिडियो एक्स–रे र प्रयोगशाला जस्ता सामान्य सेवाका लागि पनि अन्यत्र निर्भर रहनुपर्ने अवस्था छ।
रासस